Relevanz der individuellen Indikationsstellung

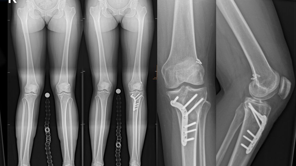
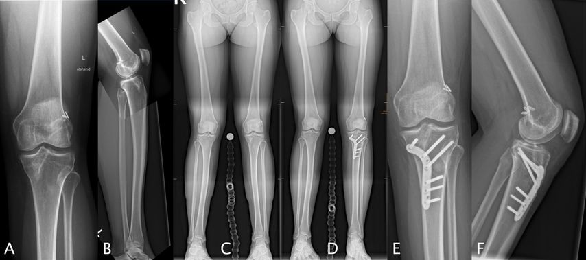
Achskorrektur bei VKB-(Re-)Rupturen

Knöcherne Achsfehlstellungen der unteren Extremität beeinflussen die Biomechanik des Kniegelenks maßgeblich und stellen relevante Risikofaktoren für Rupturen des vorderen Kreuzbandes (VKB) sowie für das Versagen von VKB-Rekonstruktionen dar. Insbesondere im Revisionssetting rücken sagittale und koronare Fehlstellungen zunehmend in den Fokus der differenzierten Therapieplanung.

Trotz standardisierter Operationsverfahren und kontinuierlicher Weiterentwicklung chirurgischer Techniken stellt die erneute Ruptur nach VKB-Rekonstruktion eine relevante klinische Problematik dar. Insbesondere vor dem Hintergrund, dass VKB-Rekonstruktionen im Revisionssetting im Vergleich zu primären Rekonstruktionen mit einer erhöhten Komplexität des operativen Eingriffs, geringerer subjektiver Zufriedenheit und schlechteren klinischen Ergebnissen in Verbindung gebracht werden.1–3 Zahlreiche wissenschaftliche Arbeiten zeigen, dass das Risiko einer VKB-Reruptur multifaktoriell bedingt ist.

Sie sind bereits registriert?
Loggen Sie sich mit Ihrem Universimed-Benutzerkonto ein:

Login

Sie sind noch nicht registriert?
Registrieren Sie sich jetzt kostenlos auf universimed.com und erhalten Sie Zugang zu allen Artikeln, bewerten Sie Inhalte und speichern Sie interessante Beiträge in Ihrem persönlichen Bereich zum späteren Lesen. Ihre Registrierung ist für alle Unversimed-Portale gültig. (inkl. allgemeineplus.at & med-Diplom.at)

Registrieren

Back to top