© Vera - stock.adobe.com

Therapieansatz unter ganzheitlicher Betrachtung des Kniegelenks

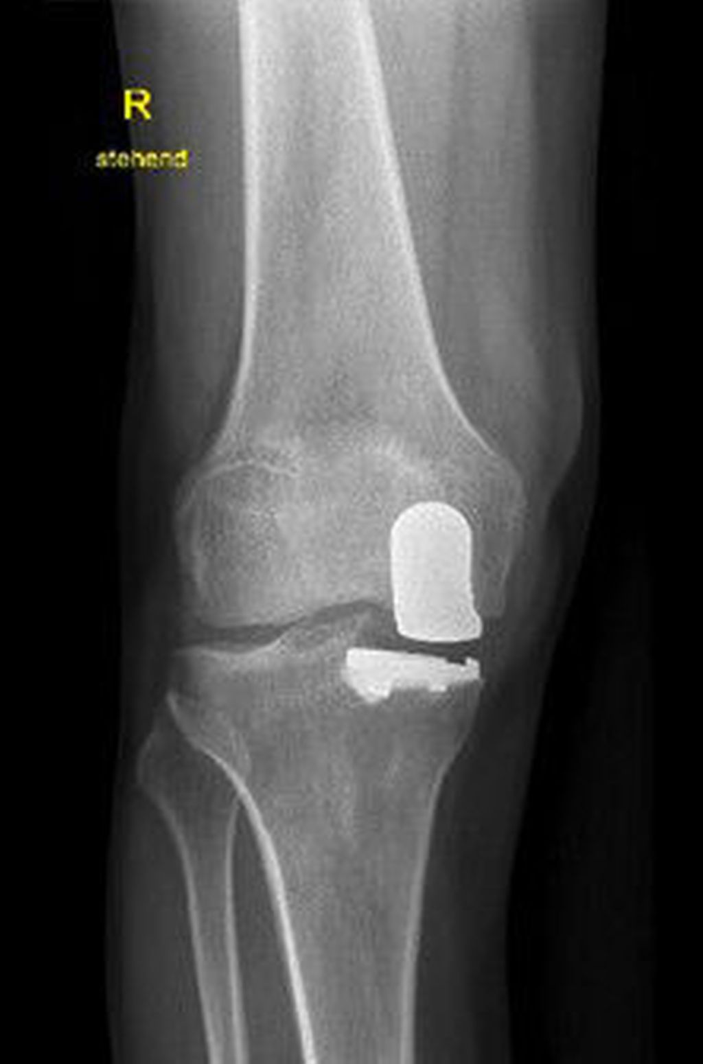
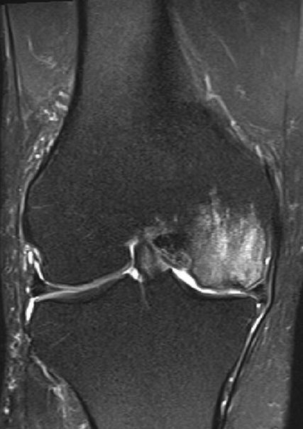
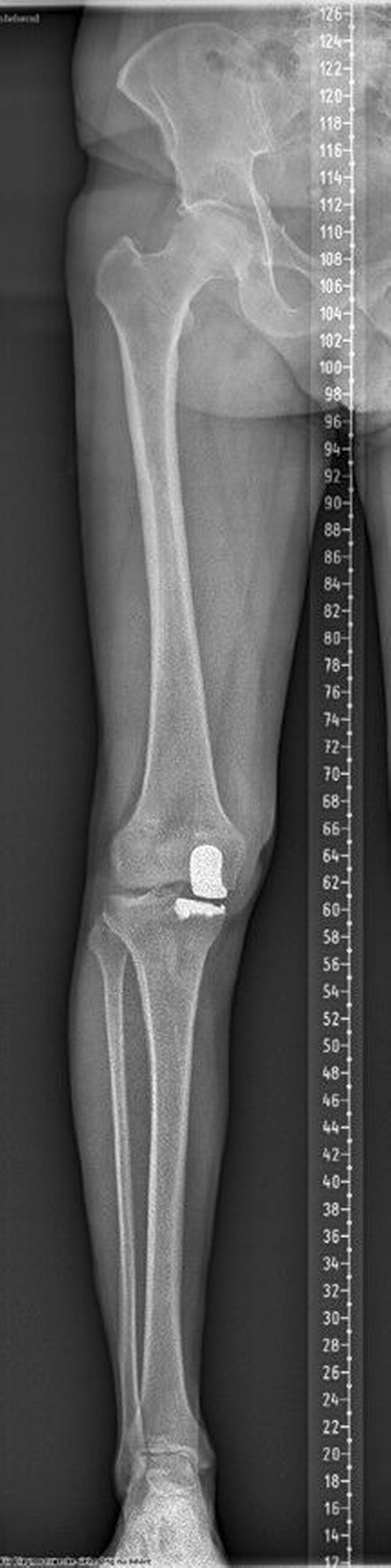
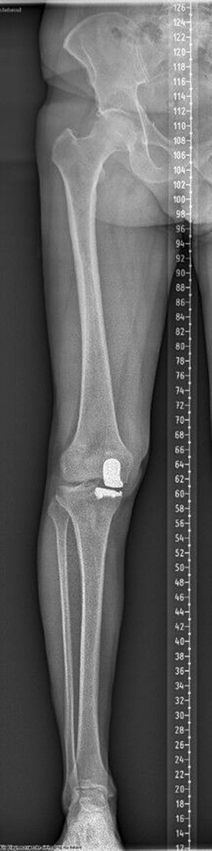
Relevanz der Beinachse bei der Therapie von degenerativen Meniskusläsionen

<style> .table-bordered th, .table-bordered td { border: none !important; width: 50%; } .table-bordered { border: none !important; } </style>

Sie sind bereits registriert?
Loggen Sie sich mit Ihrem Universimed-Benutzerkonto ein:

Login

Sie sind noch nicht registriert?
Registrieren Sie sich jetzt kostenlos auf universimed.com und erhalten Sie Zugang zu allen Artikeln, bewerten Sie Inhalte und speichern Sie interessante Beiträge in Ihrem persönlichen Bereich zum späteren Lesen. Ihre Registrierung ist für alle Unversimed-Portale gültig. (inkl. allgemeineplus.at & med-Diplom.at)

Registrieren

Back to top