
Gipskeilung bei pädiatrischen Frakturen
Autor*innen:
Carina Gramer
Dr. Julia Fröschlin
Prof. Dr. Johannes Mayr
Dr. Benjamin Frei
Chirurgie, Universitäts-Kinderspital beider Basel
Korrespondierender Autor:
Dr. Benjamin Frei
E-Mail: benjamin.frei@ukbb.ch
Sie sind bereits registriert?
Loggen Sie sich mit Ihrem Universimed-Benutzerkonto ein:
Sie sind noch nicht registriert?
Registrieren Sie sich jetzt kostenlos auf universimed.com und erhalten Sie Zugang zu allen Artikeln, bewerten Sie Inhalte und speichern Sie interessante Beiträge in Ihrem persönlichen Bereich
zum späteren Lesen. Ihre Registrierung ist für alle Unversimed-Portale gültig. (inkl. allgemeineplus.at & med-Diplom.at)
Die Gipskeilung stellt eine einfache und nichtinvasive Methode zur Achskorrektur von konservativ versorgten Frakturen dar. Aufgrund des Spontankorrekturpotenzials im Kindes- und Jugendalter, auch Remodelling genannt, können durch einen Unfall verursachte Achsabweichungen oftmals großzügig akzeptiert und somit viele Frakturen konservativ durch Ruhigstellung im Gips therapiert werden. Liegt die Achsabweichung jedoch im oder knapp über dem Grenzbereich des Tolerablen oder zeigt sich bei der radiologischen Verlaufskontrolle eine sekundäre Zunahme der Achsabweichung, kann die Gipskeilung die ideale Lösung sein. Durch das Einbringen eines Keils erfolgt eine Angulation des Gipses, die zu einer Redression der Fraktur über die Zeit führt. Es findet also keine direkte Reposition statt.
Keypoints
-
Anwendung zur Korrektur von Achsfehlstellungen bei Frakturen des Unterarms oder des Unterschenkels
-
Keilung 8–10 Tage nach Zuzug der Fraktur
-
Eine ausreichende Stabilität und gute Passform des Gipses werden benötigt.
-
Die Gipskeilung erfolgt 3–5cm proximal der Fraktur auf der konkaven Seite der Fraktur.
Grundprinzipien pädiatrischer Knochenheilung und Remodelling
Um die Anwendung der Gipskeilung als therapeutische Maßnahme einordnen zu können, sollten die Grundprinzipien der pädiatrischen Knochenheilung und des Remodellings berücksichtigt werden.
Die unten erläuterten Vorgänge führen dazu, dass im Kindes- und Jugendalter viele Frakturen konservativ behandelt werden können und nicht wie beim Erwachsenen anatomisch genau reponiert und mittels Osteosynthese fixiert werden müssen.
Die Frakturheilung selbst wird in primäre bzw. direkte und sekundäre bzw. indirekte Frakturheilung unterteilt. Die primäre Frakturheilung entsteht lediglich bei (nahezu) vollständiger Adaptation der Fragmente als Kontakt- oder Spaltheilung. Es findet kaum Kallusbildung statt. Die sekundäre Frakturheilung zeichnet sich durch Mikrobewegungen der Fragmente zueinander aus.1 Es kommt dadurch zur Frakturheilung über eine Kallusbildung. Die sekundäre Frakturheilung ist im Kindesalter vorherrschend. Das Remodelling findet im Rahmen der sekundären Frakturheilung mit dem Umbau des neu entstandenen Geflechtknochens in Lamellenknochen sowie der Resorption des Kallus statt. Ziel ist es dabei, die ursprüngliche Form und Stabilität des Knochens wiederherzustellen.2
Das kindliche Skelett mit noch offenen Wachstumsfugen weist im Gegensatz zum Skelett bei erwachsenen Patienten ein erhebliches spontanes Korrekturpotenzial für posttraumatische Fehlstellungen auf. Dabei können direkte von indirekten Korrekturmechanismen unterschieden werden. Die indirekten Mechanismen sind physiologische Vorgänge während des Wachstums und der Skelettentwicklung. Sie können nicht zuverlässig in die Therapieplanung miteinbezogen werden. Die direkten Korrekturmechanismen treten als Folge der Frakturheilung sowohl an der Epiphysenfuge über asymmetrisches Wachstum als auch auf Höhe der Fehlstellung über periostale oder endostale Prozesse auf. Diese Mechanismen sollen in der Kindertraumatologie mit in die Therapieplanung einbezogen werden.
Prinzipiell ist eine Korrektur in allen Ebenen des Raumes, der Sagittal-, der Frontal- und der Transversalebene, möglich. Zuverlässig der Spontankorrektur überlassen kann man allerdings nur Fehlstellungen in der Hauptbewegungsebene des Körpers, der Sagittalebene, sowie in der Frontalebene. Rotationsfehlstellungen korrigieren sich kaum bis gar nicht.
Auch die Frakturlokalisation am Knochen stellt ein wichtiges Kriterium dar. Im Bereich der Metaphyse, also in der Nähe der Wachstumsfuge, besteht eine deutlich höhere Korrekturfähigkeit als an der Diaphyse. Die unterschiedlichen Wachstumspotenziale der frakturnahen Wachstumsfugen gilt es dabei zu berücksichtigen (Abb. 1). Dabei haben Frakturen in der Nähe von hochpotenten Fugen ein größeres Spontankorrekturpotenzial als solche in der Nähe von langsam wachsenden Fugen.
Der wichtigste Faktor in der Beurteilung des Spontankorrekturpotenzials ist jedoch das Alter des Kindes: Je jünger das Kind, desto mehr Spontankorrekturpotenzial ist vorhanden. Zusätzlich zur Lokalisation und zum Alter stellen die funktionelle und statische Belastung sowie die Ebene der Fehlstellung Einflussfaktoren des Remodellings dar.2
Übersteigt die durch eine Fraktur entstandene Achsabweichung die Grenzen des Spontankorrekturpotenzials, muss therapeutisch eingegriffen werden. Neben der primären Reposition, für die in der Regel eine Analgosedation oder eine Allgemeinnarkose notwendig ist, stellt die Gipskeilung eine schmerzarme, nicht invasive, einfache und für Kinder wenig belastende Therapieoption dar.3
Grundprinzipien der Gipskeilung
Die Gipskeilung wurde erstmals 1936 von Krömer und Heuritsch beschrieben, als einfache und nichtinvasive Methode zur Verbesserung der Ausrichtung von konservativ versorgten Frakturen, welche Achsabweichungen aufweisen.4,5 Das Prinzip der Gipskeilung besteht darin, durch einen Richtungswechsel der „Gipsröhre“ eine Redression der Achsfehlstellung zu erreichen. Dazu wird der Gips im Querschnitt über der konkaven Seite der Fraktur zu 2/3 bis 3/4 des Gipsumfanges quer aufgesägt. Anschließend wird dieser Einschnitt mit einem Gipsspreizer erweitert. Dadurch entsteht eine keilförmige Gipsöffnung und der Gips verändert seine Achse. Das Ergebnis wird mit einem Platzhalter – es stehen dafür viele verschiedene Materialien zur Verfügung – fixiert und der Gips in der Folge erneut zirkularisiert. Es findet dabei keine direkte Reposition der Fraktur statt. Das Ergebnis der Achskorrektur stellt sich erst im Verlauf einiger Tage ein.
In der Literatur sind unterschiedliche Arten der Gipskeilung beschrieben.5,6 Bei der öffnenden Keilung wird der Keil auf der konkaven Seite eingebracht. Bei der schließenden Keilung wird hingegen auf der konvexen Seite ein Keil aus dem Gips herausgeschnitten und der entstehende Spalt anschließend geschlossen. Auch Kombinationen beider Techniken sind beschrieben. Am weitesten verbreitet ist sicherlich die öffnende Keilung.
Seit Einführung der Gipskeilung hat sich das verwendete Gipsmaterial stark verändert. Wurde ursprünglich Weißgips verwendet, finden heute hauptsächlich synthetische Gipsmaterialien Verwendung. Dabei scheint das Material auf die Effektivität der Keilung keine relevante Auswirkung zu haben.6 Zur Platzierung des Keils gibt es unterschiedliche Auffassungen und Theorien. Berberich et al. haben dazu ein biomechanisches Modell entwickelt und dabei nachweisen können, dass die Keilung auf der konkaven Seite direkt auf Frakturhöhe oder aber 5cm proximal davon am effektivsten ist.6 Auch zur Berechnung der notwendigen Weite des eingebrachten Keils gibt es unterschiedliche Vorgehensweisen. Diese reichen von sehr theoretisch und mathematisch7,8 bis einigermaßen praxisorientiert.9
Konsens besteht hingegen darin, welche Frakturen gekeilt werden können. An der oberen Extremität sind dies die distalen und diaphysären Unterarmfrakturen, wohingegen proximale Unterarmfrakturen nicht gekeilt werden sollten. An der unteren Extremität sind sowohl proximale als auch diaphysäre und distale Unterschenkelfrakturen keilbar. Humerusfrakturen und auch Femurfrakturen sind für eine Gipskeilung nicht geeignet.
Als wichtiger Punkt muss der Zeitpunkt der Gipskeilung beachtet werden: Grundsätzlich ist eine Gipskeilung direkt am Unfalltag möglich. Allerdings ist dies wenig sinnvoll, denn es besteht für das Kind dann eine unfallbedingt meist stark schmerzhafte Situation. Sollte zudem die Fehlstellung so erheblich sein, dass der Behandler eine unmittelbare Korrektur für notwendig erachtet, ist eine Reposition in Analgosedation oder Allgemeinanästhesie die effektivere Therapie. Die Gipskeilung ist eine „subakute Maßnahme“, die hinsichtlich der Schmerzarmut am besten zwischen dem 8. und 10. Tag posttraumatisch durchgeführt wird.1 Zu diesem Zeitpunkt besteht eine nahezu schmerzfreie Situation im Gips.3 Das Frakturhämatom hat sich bis dahin meist deutlich zurückgebildet. Zu beachten ist, dass ein schlecht sitzender, lockerer oder ungepolsterter Gipsverband nicht gekeilt werden kann. Wir sehen zwei Hauptindikationen für die Gipskeilung:
-
Zum einen kann die Keilung bereits am Unfalltag geplant werden, beispielsweise wenn sich primär schon eine grenzwertig tolerable Frakturstellung zeigt. Wir legen dann den entsprechenden Gips an, planen um den 8. Tag posttraumatisch eine radiologische Stellungskontrolle und führen dann im Anschluss die Gipskeilung durch.
-
Eine weitere Indikation ist die sekundäre Dislokation in der radiologischen Stellungskontrolle von primär achsgerecht stehenden Frakturen oder solchen, die primär reponiert wurden. Hier kann die Gipskeilung ein weiteres Abkippen aus dem tolerablen Bereich effektiv verhindern oder aber bessere Stellungsverhältnisse zum rascheren Remodelling erzielen.
Anleitung zur Gipskeilung
In den Abbildungen 2–8 haben wir eine Anleitung zur Gipskeilung, wie sie an unserem Zentrum durchgeführt wird, zusammengestellt. Die Abbildungen entstammen unserer internen Behandlungsrichtlinie. Essenziell erscheint uns der Aufbau des Gipses, insbesondere auch der des sogenannten Unterbaus. Wir verwenden ausschließlich glasfaserfreies Kunstharzmaterial.
-
MERKE: Glasfaserhaltiges Material wird beim Aushärten sehr hart und spröde und kann bei der Gipskeilung brechen. Dabei entstehen sehr scharfe Kanten und „Spikes“, die zu relevanten Hautverletzungen führen können!
Wir verwenden zur Ruhigstellung von Frakturen einen CombiCast. Der CombiCast besteht aus einer Kombination von rigiden HardCast-Longuetten und semi-rigiden SoftCast-Binden, die auf einen gepolsterten Unterbau aufgebracht werden (Abb. 2). An der oberen Extremität kann je nach Lokalisation der Unterarmfraktur ein Unterarm- oder Oberarm-CombiCast angelegt werden. Dabei kommen die HardCast-Longuetten immer dorsovolar zu liegen und überlappen sich radial (Abb. 3). Am Unterschenkel können ganz distale Frakturen ebenfalls im Unterschenkel-CombiCast gekeilt werden. Ansonsten verwenden wir einen Oberschenkel-CombiCast. Die HardCast-Longuetten werden dabei medial und lateral gelegt und über die Fußsohle gezogen. So entsteht eine U-Form (Abb. 4). Soll nun gekeilt werden, wird zusätzlich über der zu keilenden Stelle eine Lage zirkulärer HardCast aufgebracht.
Ablauf
Die Keilung wird 3–5cm proximal der Fraktur auf der konkaven Seite durchgeführt. Zur Orientierung bezüglich Frakturhöhe wird das Röntgenbild verwendet und auf dem Gips eine Markierung vorgenommen (Abb. 5). Dabei ist es hilfreich, wenn das distale Ende des CombiCast auf dem Röntgenbild zu erkennen ist. Jenes kann einfach als Ausgangspunkt zur Messung der Frakturhöhe und der Keilungsstelle dienen. Mit der oszillierenden Säge wird dann behutsam und langsam unter Einhalten von kleinen Pausen der Cast zirkulär 200–270° aufgesägt, sodass er biegbar wird, aber ein noch genügend breiter Steg auf der Gegenseite bestehen bleibt (Abb. 6).
-
MERKE: Das Sägeblatt kann sehr heiß werden. Verbrennungsgefahr!
Wichtig dabei ist, dass alle Castfasern durchtrennt wurden. Es wird jetzt die Polsterwatte sichtbar. Mit dem Gipsspreizer wird der Schnitt nun geweitet (Abb. 7).
-
MERKE: Der Cast kann so weit aufgespreizt werden, bis das Kind leichte Schmerzen angibt. Dann den passenden Platzhalter einsetzen und einige Minuten abwarten (Abb. 8). Verschwinden die Schmerzen wieder, kann der Keil gegebenenfalls noch ein wenig erweitert werden, bis erneut Schmerzen angegeben werden. Ein leichtes Druckgefühl im Frakturbereich darf bestehen bleiben. Es zeigt die Wirkung der Keilung an. Bleiben die Schmerzen jedoch bestehen, muss der Spalt reduziert und der Platzhalter kleiner gewählt werden.
Die mathematischen Berechnungen wie oben erwähnt erscheinen uns im klinischen Alltag als zu kompliziert und nicht zielführend. Das Ziel der Gipskeilung ist aus unserer Sicht nicht eine perfekte anatomische Reposition, sondern eine altersentsprechend tolerable Reduktion der Fehlstellung zu erreichen. Somit sind genaue Berechnungen der Keilgrößen unnötig. Im klinischen Alltag hat sich die oben erwähnte Vorgehensweise bewährt. Sie wird auch von anderen Autoren beschrieben.1,3
Der Platzhalter oder Spacer aus Holz, Kork oder Kunststoff darf auf keinen Fall die darunterliegende Polsterwatte eindellen (Abb.8). Es können sonst Druckstellen entstehen.
Abschließend wird die Keilungsstelle mit einer Lage SoftCast geschlossen (Abb. 8). Für etwa 15 Minuten nach Keilung erfolgt die Überwachung der peripheren Sensibilität, Durchblutung und Motorik und bezüglich auftretender Schmerzen oder Anschwellungen im Hand- oder Fußbereich. Nach Abschluss wird das Informationsmerkblatt zur Gipspflege erläutert und mitgegeben.
Nachkontrolle und Dokumentation
In der Literatur ist zu lesen, dass einige Autoren unmittelbar nach der Keilung eine radiologische Stellungskontrolle durchführen9 oder die Gipskeilung gar unter Durchleuchtungskontrolle10,11 stattfindet. Wir halten dies für wenig sinnvoll. Der endgültige Effekt lässt sich erst einige Tage nach Keilung abschließend beurteilen. Es handelt sich um eine Redression und nicht um eine direkte Reposition. Auch eine radiologische Überprüfung der korrekten Keillage unter dem Bildwandler sollte für das geübte klinische Auge nicht notwendig sein. Wir führen standardmäßig 5–7 Tage nach Keilung eine radiologische Stellungskontrolle durch.
Selbstverständlich kann es zu Ausnahmen von diesem Standardvorgehen kommen. Wenn sehr ausgeprägte Fehlstellungen bei älteren Kindern mit einer Keilung begradigt werden sollen, führen wir die Stellungskontrolle schon 2–3 Tage nach Gipskeilung durch, um noch genügend Zeit für eine Nachkeilung oder Reintervention zu haben. Die Tragedauer des Gipses richtet sich nach den Ruhigstellungszeiten der jeweiligen Fraktur und verlängert sich durch die Gipskeilung nicht.
Schmerzen
Generell handelt es sich bei der Gipskeilung um eine schmerzarme, wenig belastende, kinderfreundliche Therapie.3 Dabei braucht es zur Beurteilung der Effektivität die Schmerzangabe des Patienten. Wichtig dabei ist die Einschätzung, ob der Schmerz durch den gewünschten Druck auf das distale Fragment durch die Keilung entsteht oder durch zu viel Druck auf der konvexen Seite des Gipses. Letzteres ist nicht erwünscht. Es kann hier eine Druckstelle entstehen. Zur vereinfachten klinischen Beurteilung setzen wir den Keil daher 3–5cm proximal der Frakturstelle ein. So liegt der Scheitelpunkt der Gipskeilung nicht direkt über der Fraktur und Schmerzen im Rahmen der Bildung von Druckstellen sind besser erkennbar.
Leichte Schmerzen oder eher ein Druckgefühl im Frakturgebiet für die ersten 1–2Tage nach der Keilung sind möglich. Klingen sie nicht ab oder werden sie gar schlimmer, muss eine sofortige Nachkontrolle stattfinden. Sollte der Verdacht auf eine Druckstelle bestehen, kann eine Gipsfenestrierung an der konvexen Seite erfolgen.1Im Zweifelsfall muss der gekeilte Gips entfernt werden.
-
MERKE: Weichteile vor Knochen!
Zusammenfassung
Generell sollte bei grenzwertig dislozierten Frakturen je nach Alter und Wachstumspotenzial des Kindes eine Korrektur der Stellung mittels Gipskeilung anstelle einer Reposition in Betracht gezogen werden. Es handelt sich um ein schmerzarmes, wenig invasives Verfahren, das dem Kind ggf. eine operative Versorgung ersparen kann.
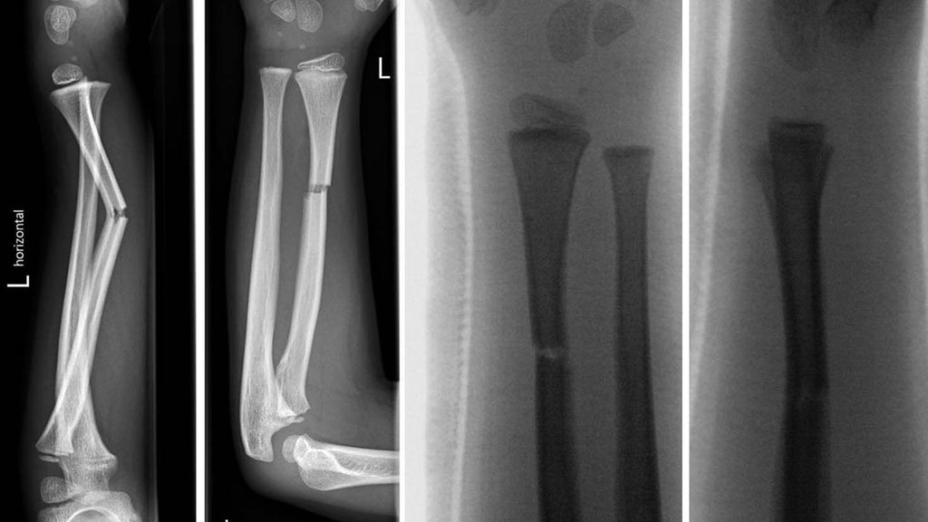
Abb. 9: Fallbeispiel: 6-jähriger Patient mit Radiusschaftfraktur. Unfall (a, b); Reposition (c, d); Stellungskontrolle mit sekundärer Achsabweichung Tag 9 (e, f); Stellungskontrolle 6 Tage nach Keilung (g, h)
Literatur:
1 von Laer L et al.: Frakturen und Luxationen im Wachstumsalter. 7. Auflage. Stuttgart: Thieme, 2020 2 Frei B et al.: Frakturen im Wachstumsalter. Was ist daran besonders? Pädiatrie 2021; 2: 4-11 3 Freislederer F et al.: Pain during cast wedging of forearm shaft and distal forearm fractures in children aged 3 to 12 years – a prospective, observational study. Children (Basel) 2020; 7(11): 229 4 Krömer K, Heuritsch J: Zur Technik der Keilausschneidung bei Gipsverbänden. Chirurg 1936; 850-4 5 Gaukel S: Cast wedging: a systematic review of the present evidence. J Child Orthop 2017; 11(5): 398-403 6 Berberich T et al.: Evaluation of cast wedging in a forearm fracture model. Clin Biomech (Bristol, Avon) 2008; 23(7): 895-9 7 Schulak DJ et al.: A theoretical analysis of cast wedging with practical applications. Clin Orthop 1978; 130: 239-46 8 Davy DT, Heiple KG: A note on the theoretical basis for cast wedging. J Biomech 1983; 16(3): 237-40 9 Jacobson N, Lee C: Some historical treatments should not be forgotten: a review of cast wedging and a trick to normalize non-standardized digital X-rays. J Orthop Case Rep 2014; 4(2): 33-7 10 Kattan JM et al.: The effectiveness of cast wedging for the treatment of pediatric fractures. J Pediatr Orthop B 2014; 23(6): 566-71 11 Slongo T: Repositionstechniken. In: Dietz HG et al. (eds.): Praxis der Kinder- und Jugendtraumatologie. Berlin, Heidelberg: Springer, 2011
Das könnte Sie auch interessieren:
Angeborene Fehlstellungen des Unterschenkels
Kongenitale Deformitäten des Unterschenkels gehören zu den seltenen, aber medizinisch bedeutenden und operativ herausfordernden Diagnosen der Kinderorthopädie. Eine differenzierte ...
Korrektur assoziierter Gelenkspathologien beim kongenitalen Femurdefekt
Der kongenitale Femurdefekt ist eine der spannendsten und komplexesten angeborenen Fehlbildungen in der Kinderorthopädie und in der klinischen Präsentation sehr vielgestaltig. Während ...
Hochgradige ACG-Luxationen – wann konservativ behandeln, wann nicht?
Verletzungen des Akromioklavikulargelenks (ACG) gehören zu den häufigsten Schulterverletzungen bei jungen und aktiven Menschen, insbesondere auch aufgrund der zunehmenden Beliebtheit von ...