Neueste Entwicklungen in der Behandlung der akuten Divertikulitis
Autor:innen:
Jeremy Meyer, MD, PhD
Emilie Liot, MD
Guillaume Meurette, MD,PhD
Frédéric Ris, MD, PhD
Unité de chirurgie colorectale
Service de chirurgie viscérale
Hôpitaux Universitaires de Genève
E-Mail: jeremy.meyer@hcuge.ch
Sie sind bereits registriert?
Loggen Sie sich mit Ihrem Universimed-Benutzerkonto ein:
Sie sind noch nicht registriert?
Registrieren Sie sich jetzt kostenlos auf universimed.com und erhalten Sie Zugang zu allen Artikeln, bewerten Sie Inhalte und speichern Sie interessante Beiträge in Ihrem persönlichen Bereich
zum späteren Lesen. Ihre Registrierung ist für alle Unversimed-Portale gültig. (inkl. allgemeineplus.at & med-Diplom.at)
Die Inzidenz der Divertikulitis steigt mit zunehmendem Alter. Die Behandlung ist multimodal und muss sowohl dem Stadium der Divertikulitis als auch dem Patienten angepasst werden. Im letzten Jahrzehnt hat sich die Behandlungsstrategie bei unkomplizierter Divertikulitis erheblich verändert. Bei den meisten Patienten kann sie ohne Antibiotika und ambulant behandelt werden. Auch bei der komplizierten Divertikulitis haben verschiedene Studien zu einer Anpassung der Behandlungsstrategie geführt.
Keypoints
-
In ausgewählten Fällen können Patienten mit unkomplizierter Divertikulitis ambulant ohne Antibiotika behandelt werden.
-
Patienten mit Divertikelabszess müssen mit Antibiotika und, falls erforderlich, mittels perkutaner Drainage behandelt werden; eine Koloskopie sollte bei diesen Patienten ein mögliches kolorektales Karzinom ausschliessen.
-
Bei Patienten mit perforierter Divertikulitis (Hinchey III) sind eine laparoskopische Spülung oder eine primäre Anastomose mit Deviationsstoma Alternativen zur Hartmann-Operation.
-
Die Indikation für einen elektiven chirurgischen Eingriff sollte ausschliesslich auf der Lebensqualität basieren und individuell auf den Patienten zugeschnitten sein.
Ein Kolondivertikel ist definiert als eine Ausstülpung des Kolonlumens durch die Darmwand. Ein Divertikel kann entweder ein «echtes» Divertikel sein, das alle drei histologischen Schichten des Verdauungstrakts umfasst, wie es z.B. beim Divertikel des rechten Kolons bei asiatischen Patienten der Fall ist, oder ein «Pseudodivertikel», das die Muscularis proprianicht umfasst. Das Vorhandensein von Kolondivertikeln definiert die Kolondivertikulose, deren Prävalenz mit dem Alter ansteigt und bei über 50-Jährigen 48% beträgt.1 Als Divertikelkrankheit wird die symptomatische Divertikulose bezeichnet. Diese tritt in Form einer Divertikulitis (Entzündung eines Divertikels), einer Divertikelblutung oder einer symptomatischen unkomplizierten Divertikelkrankheit («SUDD») auf.2
Epidemiologie
Die Inzidenz der Divertikulitis liegt bei 88/100000 Einwohner pro Jahr, ist bei kaukasischen Frauen am höchsten und steigt mit zunehmendem Alter auf 210,8 Fälle pro 100000 Einwohner pro Jahr bei über 70-Jährigen.3 Die Inzidenz ist in den letzten Jahrzehnten relativ stabil geblieben, ausser bei Männern mittleren Alters (30–55 Jahre), bei denen die Inzidenz seit den 2000er-Jahren stetig steigt. Die Wahrscheinlichkeit, dass bei einem Patienten mit Divertikulose eine Divertikulitis auftritt, beträgt nach allgemein anerkannten Schätzungen 5%. Die Wahrscheinlichkeit einer zweiten Episode wird auf 20% in 10 Jahren geschätzt, die einer dritten Episode auf 20% in einem Jahr.2 Die Hauptrisikofaktoren für die Entwicklung einer Divertikulitis sind in absteigender Reihenfolge eine positive Familienanamnese, die Einnahme von Kortikosteroiden, Opioiden oder nichtsteroidalen Entzündungshemmern, Rauchen, Adipositas (vor allem im Bauchbereich) sowie eine westliche Ernährungsweise mit viel rotem Fleisch.4
Diagnostische Untersuchungen
Das Vorhandensein von Bauchschmerzen (Odds-Ratio [OR]: 2,3) ohne Erbrechen (OR: 9,2) gibt in der Regel Hinweise zur Differenzialdiagnose, insbesondere wenn bei der Palpation eine Sensibilität in der linken Fossa iliaca festgestellt wird (OR: 13,3).5 Die Sensitivität der klinischen Diagnose allein beträgt jedoch nur 68% und reicht daher nicht aus, um die Diagnose einer Divertikulitis zu stellen.6 Ein CRP-Wert von >50mg/l (OR: 4,7)5 und eine CT-Bildgebung sind hierzu unerlässlich und werden von der European Association for Endoscopic Surgery7 sowie der European Society of Coloproctology2 empfohlen. Alternativ kann in erfahrenen Händen auch eine Ultraschalluntersuchung des Abdomens ausreichen.
Einteilung
Episoden einer akuten Divertikulitis des Dickdarms werden üblicherweise anhand klinischer oder radiologischer Kriterien oder einer Kombination aus beiden Kriterien klassifiziert. Die Klassifikation der Episoden ist prognostisch und bestimmt die Therapiestrategie. Obwohl es viele verschiedene Klassifikationssysteme gibt,8 ist die am häufigsten verwendete Klassifikation nach wie vor die Klassifikation nach Hinchey9, modifiziert von Wasvary et al.10, die in Tabelle 1 dargestellt wird.
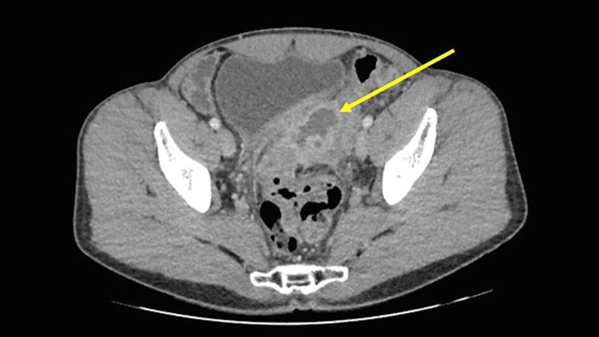
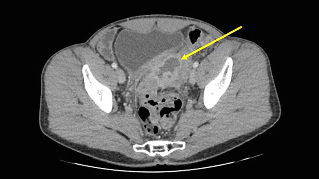
Kurz gesagt wird eine Divertikulitisepisode als «unkompliziert» definiert, wenn sie im Stadium HincheyIa ist, und als «kompliziert», wenn sie im Stadium >Hinchey Ia ist (Abb.1); auf Letzteres trifft etwa jede fünfte Episode zu.11 Das isolierte Vorhandensein von freier Luft in Abwesenheit von Abszessen und freier Flüssigkeit wird in der modifizierten Hinchey-Klassifikation nicht berücksichtigt. Obwohl wir dokumentiert haben, dass Patienten mit isolierter freier Luft ein stärkeres Entzündungssyndrom bei der Aufnahme haben als Patienten ohne freie Luft,12 sollte das Vorhandensein von isolierter freier Luft nicht dazu führen, dass diese Patienten überklassifiziert werden und die Therapiestrategie geändert wird.13 Eine Notoperation ist tatsächlich nur bei 6% dieser Patienten angezeigt14 – ein ähnlicher Anteil wie bei Patienten ohne freie Luft.12
Abb. 1: Komplizierte Divertikulitis im Stadium Hinchey Ib. Der gelbe Pfeil zeigt auf den parasigmoidalen Abszess, der die Blase verdrängt
Therapiemanagement der unkomplizierten Divertikulitis
Die unkomplizierte Divertikulitis wurde früher stationär mit intravenöser Antibiotikatherapie,15 gefolgt von oraler Antibiotikatherapie, behandelt, wobei davon ausgegangen wurde, dass es sich bei der Divertikulitis hauptsächlich um ein infektiöses Geschehen handelt. Die klinische Studie AVOD16 zeigte jedoch 2012, dass die unkomplizierte Divertikulitis ohne Antibiotika behandelt werden kann, und zwar mit der gleichen Häufigkeit von Komplikationen, Notfallsigmoidektomien und Divertikulitisrezidiven sowie der gleichen Verweildauer wie bei der Behandlung mit Antibiotika. Diese Ergebnisse bestätigten sich später durch eine 10-Jahres-Nachbeobachtung, die zeigte, dass die antibiotikafreie Therapie weder die Häufigkeit von Divertikulitisrezidiven noch die Häufigkeit von Notfallsigmoidektomien erhöhte.17 Im Jahr 2020 zeigte die klinische Studie DIABOLO, dass die antibiotikafreie Therapie der unkomplizierten Divertikulitis im Vergleich zur antibiotischen Behandlung weder die Genesungszeit verlängerte noch die Häufigkeit von Divertikulitisrezidiven, die Häufigkeit von Notfallsigmoidektomien, die Wiedereinweisungsrate, die Häufigkeit von Komplikationen oder die Mortalität erhöhte.18Diese günstigen Ergebnisse wurden auch nach 24-monatiger Nachbeobachtung bestätigt.19
Ebenso wurde die Indikation zur stationären Behandlung von Episoden einer akuten, unkomplizierten Divertikulitis durch die DIVER-Studie infrage gestellt.20 Diese zeigte, dass die ambulante Therapie ähnliche Ergebnisse wie die stationäre Behandlung in Bezug auf Divertikulitisrezidive, die Indikation für eine notfallmässige Sigmoidektomie und die Mortalität erzielte. Zudem wurde für die ambulante Therapie eine niedrige Versagensrate von 4,5% nachgewiesen, die später durch eine Metaanalyse nichtrandomisierter Studien zur ambulant behandelten Divertikulitis bestätigt wurde.21
Daher empfiehlt die European Society of Coloproctology, ausser in besonderen Situationen (Immunsuppression, Sepsis) Patienten mit akuter unkomplizierter Divertikulitis keine Antibiotika zu verabreichen und eine ambulante Therapie anzubieten.2 Die Kriterien, die wir am Universitätsspital Genf anwenden, sind in Tabelle 2 aufgeführt.
Therapiemanagement der komplizierten Divertikulitis
Patienten mit komplizierter Divertikulitis müssen eine Antibiotikatherapie erhalten.2 Bei einer abszedierten Divertikulitis im Stadium HincheyIb oder HincheyII sinkt die Erfolgswahrscheinlichkeit einer alleinigen antibiotischen Therapie mit zunehmendem Abszessdurchmesser und beträgt bei einem Abszess von 6–8cm nur noch 40%.22 Daher sollte bei abszedierter Divertikulitis eine perkutane Drainage unter Röntgenkontrolle in Betracht gezogen werden, sobald der Abszessdurchmesser mehr als 3cm beträgt.2
Bei Divertikulitis in fortgeschritteneren Stadien, d.h. HincheyIII oder HincheyIV, wurde üblicherweise eine chirurgische Therapie in Form einer Sigmoidektomie mit Anlage einer terminalen Kolostomie (Hartmann-Operation) durchgeführt. Die Wiederherstellung der Darmkontinuität durch kolorektale Anastomose konnte nach einem Zeitraum von 2 bis 3 Monaten in Betracht gezogen werden. Die klinische Studie LADIES zeigte 2015, dass bei diesen Patienten die Anlage eines Stomas vermieden werden konnte (10,5% vs. 17% nach 3 Jahren),23 wenn der Chirurg bei der Notfallversorgung eine Spülung und Drainage anstelle einer Hartmann-Operation durchführte. Dies ging jedoch einher mit einer erhöhten Häufigkeit von kurzfristigen Komplikationen (39% vs. 19%), chirurgischen Reinterventionen (20% vs. 7%) und Divertikulitisrezidiven (20% vs. 2%).24 In der Folge bestätigte die klinische Studie SCANDIV,25 die Patienten mit Hinchey-III-Divertikulitis einschloss (unter Ausschluss von Hinchey-IV-Divertikulitiden), dass die laparoskopische Spülung den Anteil der Patienten mit Stoma (8% vs. 33%) reduzierte und die Wahrscheinlichkeit einer Reoperation und eines Divertikulitisrezidivs erhöhte. Derzeit stellt die laparoskopische Spülung bei ausgewählten Patienten eine Therapiealternative dar, bleibt aber selbstverständlich kontraindiziert, wenn intraoperativ eine Divertikelperforation festgestellt wird; in diesem Fall wäre eine Resektion des betroffenen Segments in Erwägung zu ziehen. Ausserdem untersuchte die klinische Studie LADIES die Durchführbarkeit einer kolorektalen Anastomose anstelle einer terminalen Kolostomie bei der Notfallsigmoidektomie aufgrund von Divertikulitis der Hinchey-StadienIII und IV. Es zeigte sich, dass 95% der Patienten mit primärer Anastomose ein Jahr nach der Operation kein Stoma hatten, verglichen mit 72% der Patienten nach Hartmann-Operation bei ähnlicher Morbidität und Mortalität.26 Daher stellt die primäre Anastomose bei ausgewählten Patienten mit Divertikulitis im Hinchey-StadiumIII oder IV eine zufriedenstellende Alternative zur laparoskopischen Lavage oder zur Hartmann-Operation dar.
Stellenwert der elektiven Chirurgie
Die 10-Jahres-Inzidenz für ein Rezidiv einer akuten Divertikulitis des Dickdarms wird auf 22% nach einer ersten Episode und 55% nach einer zweiten Episode geschätzt.4 Ausserdem ist die Wahrscheinlichkeit eines Rezidivs nach >3 Episoden höher (Hazard-Ratio [HR]: 3,2) als nach 1–2 Episoden (HR: 1,6).27 Allerdings ist die Wahrscheinlichkeit, dass eine rezidivierende Divertikulitis Komplikationen verursacht, nicht höher als bei der initialen Divertikulitis, und die Operation sollte nicht als Prophylaxe einer potenziellen Komplikation der Divertikulitis betrachtet werden. Die Indikation für eine elektive Operation bei der Divertikelkrankheit hängt von vielen Faktoren ab, die mit den Patienten (Komorbiditäten, Vorgeschichte), der Divertikelkrankheit (Häufigkeit von Rezidiven, chronische Entzündung, Divertikelstenose, Fistel) oder dem Umfeld (Zugang zu medizinischer Versorgung) zusammenhängen, und sie sollte sich an der Lebensqualität orientieren. Die Operationsindikation muss daher von Fall zu Fall zusammen mit dem Patienten individuell gestellt werden.2
Die Operation wird bei der Divertikelkrankheit vorzugsweise minimalinvasiv durchgeführt und umfasst, von Ausnahmen abgesehen, eine Sigmoidektomie mit kolorektaler Anastomose. Meistens bleiben Divertikel im restlichen proximalen Kolon zurück, die in der Folgezeit ein Divertikulitisrezidiv hervorrufen können. Wir haben dokumentiert, dass dieses Rezidivrisiko nach Sigmoidektomie zwar existiert,28,29 aber anekdotisch ist (2,15% nach 15-jähriger Nachbeobachtung am Universitätsspital Genf).28 Dennoch sollte der Patient darüber informiert werden.
Indikation für eine Koloskopie
In manchen Fällen ist die Computertomografie nicht empfindlich genug, um eine Divertikulitis mit ausreichender Sicherheit von Dickdarmkrebs zu unterscheiden, insbesondere wenn das Gewebe stark entzündet ist. In diesen Fällen kann eine Koloskopie erforderlich sein. In einer Metaanalyse mit 50445 Patienten zeigten wir, dass 1,3% der Patienten mit unkomplizierter Divertikulitis und 7,9% der Patienten mit komplizierter Divertikulitis tatsächlich ein kolorektales Karzinom hatten.30 In einer epidemiologischen Studie in der Bevölkerung des Kantons Genf konnten wir zeigen, dass das Risiko für ein Kolorektalkarzinom in der Population mit akuter Divertikulitis 44-mal höher ist als in der alters- und geschlechtsbereinigten Allgemeinbevölkerung.11 Daher empfiehlt die European Society of Coloproctology, dass mindestens 6 Wochen nach einer Episode einer komplizierten Divertikulitis eine diagnostische Koloskopie zum Ausschluss eines möglichen kolorektalen Karzinoms durchgeführt werden sollte (sofern in den letzten 3 Jahren keine durchgeführt wurde).2
Bei unkomplizierter Divertikulitis empfehlen die Fachgesellschaften keine routinemässige Koloskopie, wenn keine Warnzeichen vorliegen. Unser Team hat sich jedoch dafür entschieden, auch diese Patienten diagnostisch abzudecken, da die Inzidenz des Kolorektalkarzinoms bei ihnen 40-mal höher ist als in der Referenzpopulation.11,31
Schlussfolgerungen
Die Therapie der Divertikulitis ist multimodal und muss sowohl auf das Stadium der Erkrankung als auch auf den Patienten abgestimmt werden. Bei ausgewählten Patienten kann eine unkomplizierte Divertikulitis ohne Antibiotika und ambulant behandelt werden. Eine komplizierte Divertikulitis hingegen erfordert eine stationäre Behandlung mit Antibiotikatherapie. Bei Abszessen mit einem Durchmesser von >3cm wird eine radiologische Drainage empfohlen, während bei eitriger oder fäkaler Peritonitis eine chirurgische Therapie mittels Hartmann-Operation, laparoskopischer Spülung oder Sigmoidektomie mit Anastomose angezeigt ist.
Literatur:
1 Hughes LE: Gut 1969; 10: 336-44 2 Schultz JK et al.: Colorectal Dis 2020; 22: 5-28 3 Wheat CL, Strate LL: Clin Gastroenterol Hepatol 2016; 14: 96-103e1 4 Strate LL, Morris AM: Gastroenterol 2019; 156: 1282-98 e1 5 Lameris W et al.: Dis Colon Rectum 2010; 53: 896-904 6 Toorenvliet BR et al.: Colorectal Dis 2010; 12: 179-86 7 Francis NK et al.: Surg Endosc 2019; 33: 2726-41 8 Klarenbeek BR et al.: Int J Colorectal Dis 2012; 27: 207-14 9 Hinchey EJ et al.: Adv Surg 1978; 12: 85-109 10 Wasvary H et al.: Am Surg 1999; 65: 632-5 11 Meyer J et al.: Surg Endosc 2015; 29: 3331-7 12 Meyer J et al.: Int J Colorectal Dis 2019; 34: 2053-8 13 van Dijk ST et al.: Surg Infect 2018; 19: 362-8 14 van Dijk ST et al.: Br J Surg 2018; 105: 933-45 15 Scarpa CR et al.: Ann Coloproctol 2015; 31: 52-6 16 Chabok A et al.: Br J Surg 2012; 99: 532-9 17 Isacson D et al.: Br J Surg 2019; 106: 1542-8 18 Daniels L et al.: Br J Surg 2017; 104: 52-61 19 van Dijk ST et al.: Am J Gastroenterol 2018; 113: 1045-52 20 Biondo S et al.: Ann Surg 2014; 259: 38-44 21 Cirocchi R et al.: Tech Coloproctol 2019; 23: 87-100 22 Mali J et al.: World J Emerg Surg 2019; 14: 31 23 Hoek VT et al.: Surg Endosc 2022; 36: 7764-74 24Vennix S et al.: Lancet 2015; 386: 1269-77 25 Azhar N et al.: JAMA Surg 2021; 156: 121-7 26 Lambrichts DPV et al.: Lancet Gastroenterol Hepatol 2019; 4: 599-610 27 Sallinen V et al.: Medicine 2015; 94: e557 28 Waser A et al.: Int J Colorectal Dis 2023; 38: 157 29 Longchamp G et al.: Int J Colorectal Dis 2021; 36: 227-37 30 Meyer J et al.: Clin Gastroenterol Hepatol 2019; 17: 1448-56e17 31 Meyer J et al.: World J Clin Oncol 2018; 9: 119-22
Das könnte Sie auch interessieren:
Horror im Nachtdienst – Management von ösophagealen Notfällen
Um die Nachtdienste möglichst „horrorfrei“ zu halten, sind regelmäßige „Trockenübungen“, Leitlinienkenntnis und Wissen über endoskopische Hilfsmittel entscheidend. Drei Kasuistiken aus ...
Neuroimmunologische Aspekte bei chronisch-entzündlichen Darmerkrankungen
Psychische Belastungssituationen und chronisch-entzündliche Darmerkrankungen sind untrennbar miteinander verbunden, wobei Ursache und Wirkung oft schwer auseinanderzuhalten sind. Die ...
Fallbeispiel: retrograde cricopharyngeale Dysfunktion (R-CPD)
Ein 24-jähriger männlicher Patient stellte sich mit einer Unfähigkeit zu rülpsen sowie ausgeprägtem Meteorismus und anhaltendem abdominellem Spannungsgefühl vor. Die Symptomatik bestand ...