Unilaterales nävoides Teleangiektasie-Syndrom
Autorinnen:
Dr. med. Melike Ak
Dr. med. C. Bettina Rümmelein
Hautwerk AG, Zürich
E-Mail: klinik@hautwerk.ch
Sie sind bereits registriert?
Loggen Sie sich mit Ihrem Universimed-Benutzerkonto ein:
Sie sind noch nicht registriert?
Registrieren Sie sich jetzt kostenlos auf universimed.com und erhalten Sie Zugang zu allen Artikeln, bewerten Sie Inhalte und speichern Sie interessante Beiträge in Ihrem persönlichen Bereich
zum späteren Lesen. Ihre Registrierung ist für alle Unversimed-Portale gültig. (inkl. allgemeineplus.at & med-Diplom.at)
Der folgende Fallbericht beleuchtet das seltene unilaterale nävoide Teleangiektasie-Syndrom im Kontext hormoneller Veränderungen während der Schwangerschaft. Anhand einer Patientin werden das klinische Erscheinungsbild, der typische Verlauf sowie das spontane postpartale Abklingen der Läsionen dargestellt. Zudem werden mögliche pathogenetische Mechanismen und therapeutische Optionen diskutiert, insbesondere die Rolle der Lasertherapie bei persistierenden Befunden.
Keypoints
-
Das unilaterale nävoide Teleangiektasie-Syndrom zeigt sich klinisch häufig durch einseitige Teleangiektasien entlang der Dermatome C3–T3.
-
Hormonelle Einflüsse wie Pubertät, Schwangerschaft oder Östrogentherapie können in der Entstehung und im Verlauf der Erkrankung eine Rolle spielen.
-
Eine Therapie ist in der Regel nicht erforderlich, bei kos-metischem Leidensdruck können Laserbehandlungen versucht werden.
Das unilaterale nävoide Teleangiektasie-Syndrom (UNT) ist eine seltene kapilläre Gefässanomalie der Haut. Charakteristisch sind feine, teils netzartige Tele-angiektasien, die typischerweise einseitig entlang der zervikothorakalen Dermatome auftreten. Das Syndrom kann sowohl angeboren als auch erworben sein und kann im Zusammenhang mit hormonellen Veränderungen auftreten. Die Läsionen sind in der Regel asymptomatisch, können jedoch insbesondere bei ausgeprägtem Befund einen kosmetischen Leidensdruck verursachen.
Fallbericht
Eine 36-jährige Patientin stellte sich aufgrund einer seit einigen Wochen neu aufgetretenen, progredienten, rötlichen und asymptomatischen Hautveränderung am linken Oberarm in unserer Praxis vor. Zum Zeitpunkt der Erstvorstellung befand sich die Patientin in der 37. Schwangerschaftswoche. Ansonsten war die Patientin in einem guten Allgemeinzustand und hatte keine weiteren Beschwerden. Die persönliche Anamnese war bis auf eine bekannte palmoplantare pustulöse Psoriasis unauffällig. Eine regelmässige Medikation bestand nicht. Die Familienanamnese war ebenfalls blande.
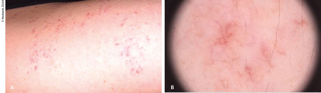
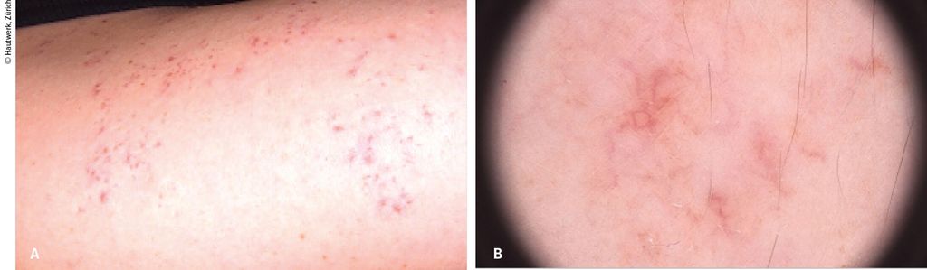
Klinisch präsentierte sich am linken dorsalen Oberarm, entlang des Dermatoms C5–C6, ein unscharf begrenztes Erythem aus dicht stehenden, sternförmig verzweigten Teleangiektasien. Auf Glasspateldruck verschwanden die Teleangiektasien teilweise. Aufgrund der klinischen Präsentation gingen wir am ehesten von einem UNT aus und empfahlen eine Verlaufskontrolle postpartal. Die Patientin stellte sich etwa 8 Wochen postpartal erneut in unserer Praxis vor und berichtete von einer Abnahme der Rötung am linken Oberarm, was klinisch ebenfalls objektivierbar war (Abb.1–3). Da sich die Patientin kosmetisch durch das persistierende Resterythem gestört fühlte, diskutierten wir die Option einer Lasertherapie mit einem KTP-Laser (532nm).
Abb. 1: Klinisches Bild Oberarm links dorsal. A) Multiple erythematöse Maculae. B) Vereinzelte Teleangiektasien (dermatoskopische Nahaufnahme)
Abb. 2: Dynamik der erythematösen Maculae am Oberarm links dorsal proximal. A) Klinisches Bild in der 37. Schwangerschaftswoche. B) Klinisches Bild ca. 8 Wochen postpartal
Abb. 3: Dynamik der erythematösen Maculae am Oberarm links dorsal distal. A) Klinisches Bild in der 37. Schwangerschaftswoche. B) Klinisches Bild ca. 8 Wochen postpartal
Diskussion
Die genaue Pathogenese eines UNT ist bislang nicht abschliessend geklärt. Es wird jedoch angenommen, dass sowohl hormonelle Einflüsse als auch genetische Mosaikphänomene eine Rolle spielen.1–3
Die erworbene Form tritt häufig in hormonell aktiven Lebensphasen auf, etwa während der Pubertät, Schwangerschaft oder unter Östrogentherapie.1,4 Histologische Analysen konnten teilweise eine Überexpression von Östrogen- und Progesteronrezeptoren in den betroffenen Hautarealen nachweisen, was eine hormonelle Beteiligung nahelegen kann.1,2 Auch bei Lebererkrankungen, insbesondere bei chronischer Hepatitis C, wurde UNT im Rahmen einer sekundären Hyperöstrogenämie beobachtet.1,5
Klinisch präsentiert sich UNT als punktförmige oder netzartige Teleangiektasien, einseitig meist entlang der Dermatome C3 bis T3. Auf Diaskopie können die Teleangiektasien abblassen. Die Läsionen sind in der Regel asymptomatisch, können aber durch ihre Sichtbarkeit einen kosmetischen Leidensdruck verursachen. In vielen Fällen wird die Diagnose ausschliesslich klinisch gestellt. Histologisch finden sich oberflächlich dilatierte Kapillaren ohne entzündliches Infiltrat. Die Expression von Östrogen- oder Progesteronrezeptoren in den betroffenen Arealen ist uneinheitlich dokumentiert. Im Verlauf bleiben die Teleangiektasien meist stabil, können jedoch bei hormonellen Veränderungen zunehmen oder nach Rückgang der Hormonspiegel teilweise zurückgehen.1,2
Die Differenzialdiagnose umfasst vor allem andere vaskuläre Fehlbildungen wie das Angioma serpiginosum, Naevus flammeus oder generalisierte Teleangiektasien. Eine genaue Anamnese sowie die klinische Morphologie sind für die Abgrenzung entscheidend. Eine Biopsie ist nur bei unklaren Befunden erforderlich.1
Therapeutisch ist häufig keine Intervention notwendig, da sich insbesondere hormonell bedingte Formen – wie in der Schwangerschaft – postpartal teilweise oder vollständig zurückbilden können.1
Bei persistierenden oder kosmetisch störenden Läsionen kann eine Lasertherapie in Erwägung gezogen werden. Dabei haben sich gepulste Farbstofflaser (PDL) sowie KTP-Laser als wirksam erwiesen. Eine vollständige Rückbildung ist jedoch nicht immer erreichbar, und Rezidive sind möglich.6–8
In der Praxis ist es daher entscheidend, Patient:innen über mögliche Rückbildungsmechanismen und mögliche Therapieoptionen aufzuklären.
Literatur:
1 Wenson SF et al.: Unilateral nevoid telangiectasia syndrome: a case report and review of the literature. Dermatol Online J 2011; 17(5): 2 2 Uhlin SR, McCarty KS Jr: Unilateral nevoid telangiectatic syndrome. The role of estrogen and progesterone receptors. Arch Dermatol 1983; 119(3): 226-8 3 Happle R: Capillary malformations: a classification using specific names for specific skin disorders. J Eur Acad Dermatol Venereol 2015; 29(12): 2295-305 4 Woollons A, Darley CR: Unilateral naevoid telangiectasia syndrome in pregnancy. Clin Exp Dermatol 1996; 21(6): 459-60 5 Hynes LR, Shenefelt PD: Unilateral nevoid telangiectasia: occurrence in two patients with hepatitis C. J Am Acad Dermatol 1997; 36(5 Pt 2): 819-22 6 Cliff S, Harland CC: Recurrence of unilateral naevoid telangiectatic syndrome following treatment with the pulsed dye laser. J Cutan Laser Ther 1999; 1(2): 105-7 7 Sharma VK, Khandpur S: Unilateral nevoid telangiectasia—response to pulsed dye laser. Int J Dermatol 2006; 45(8): 960-4 8 Adrian RM, Tanghetti EA: Long pulse 532-nm laser treatment of facial telangiectasia. Dermatol Surg 1998; 24(1): 71-4
Das könnte Sie auch interessieren:
Eine systematische Analyse zum Einfluss von Nerven auf die Wundheilung
Periphere Nerven beeinflussen massgeblich die Wundheilung der Haut. Eine systematische Analyse von 89 Studien zeigt: Während Denervation, Diabetes und Alter die Heilung verschlechtern, ...
Aminosäuren – Booster für die Wundheilung?
Für den Wundheilungsprozess ist je nach Heilungsprozess die richtige Kombination aus Kohlenhydraten, Fetten und Proteinen sowie aus Mineralien, Spurenelementen und Vitaminen essenziell. ...
Ein haariger Fall mit irreversiblen Folgen
Bestimmte Formen von Alopezie scheinen in jüngster Zeit explosionsartig zuzunehmen, wobei die genauen Ursachen bislang noch nicht vollständig geklärt sind. Handelt es sich dabei um eine ...