Rajeunissement intime féminin: une solution innovante avec l’acide hyaluronique
Auteure:
Dre méd. Sophie Menkes
Directrice Médicale
Centre de Médecine Régénérative et Esthétique
Clinique de Genolier
E-mail: sophie@drmenkes.com
Sie sind bereits registriert?
Loggen Sie sich mit Ihrem Universimed-Benutzerkonto ein:
Sie sind noch nicht registriert?
Registrieren Sie sich jetzt kostenlos auf universimed.com und erhalten Sie Zugang zu allen Artikeln, bewerten Sie Inhalte und speichern Sie interessante Beiträge in Ihrem persönlichen Bereich
zum späteren Lesen. Ihre Registrierung ist für alle Unversimed-Portale gültig. (inkl. allgemeineplus.at & med-Diplom.at)
Le bien-être intime féminin est un enjeu majeur de santé et de qualité de vie. La sécheresse vaginale, l’atrophie vulvo-vaginale et les douleurs lors des rapports affectent de nombreuses femmes, en particulier après la ménopause. Ces désagréments peuvent impacter la confiance en soi, la vie sexuelle et le confort quotidien des patientes concernées. Pourtant, de nombreuses femmes hésitent à en parler avec un professionnel de santé, par pudeur ou par méconnaissance des solutions existantes. L’utilisation de l’acide hyaluronique (HA) s’impose comme une solution non hormonale efficace pour restaurer l’hydratation et l’élasticité des tissus, offrant ainsi un traitement novateur et peu invasif aux patientes.
Keypoints
-
L’atrophie vulvo-vaginale (VVA) est un problème fréquent chez les femmes ménopausées, souvent sous-diagnostiqué en raison d’un manque de sensibilisation médicale et d’un tabou persistant sur la santé intime féminine.
-
L’acide hyaluronique injecté dans les tissus vaginaux et vulvaires améliore l’hydratation, réduit les douleurs et stimule la régénération tissulaire, offrant ainsi un soulagement durable et une amélioration du confort intime.
-
Des études cliniques ont démontré une amélioration significative de la fonction sexuelle et de la qualité de vie après traitement par HA, rendant cette solution particulièrement intéressante pour les femmes cherchant une alternative non hormonale aux traitements classiques.
-
Ce traitement est non invasif, bien toléré, avec peu d’effets secondaires et représente une alternative crédible aux traitements hormonaux traditionnels, notamment pour les patientes ne pouvant pas bénéficier d’une supplémentation en œstrogènes.
L’atrophie vulvo-vaginale: un problème fréquent et sous-estimé
L’atrophie vulvo-vaginale (VVA), également appelée vaginite atrophique, désigne l’amincissement, la sécheresse et l’inflammation des parois vaginales causés par une baisse des niveaux d’œstrogènes. Ce phénomène est une conséquence naturelle du vieillissement, mais il peut également résulter d’un allaitement prolongé, de certains traitements médicaux tels que la chimiothérapie, ou encore de médicaments réduisant les niveaux d’œstrogènes (notamment dans le cadre du traitement du cancer du sein).1
Les symptômes de la VVA incluent des sécheresses persistantes, des démangeaisons, des sensations de brûlure et des douleurs lors des rapports sexuels (dyspareunie). Par ailleurs, certaines femmes souffrent de troubles urinaires associés, comme des infections à répétition, une urgence mictionnelle accrue ou des sensations d’inconfort chronique. Malgré une prévalence touchant environ 50% des femmes ménopausées, la VVA reste largement sous-diagnostiquée et insuffisamment traitée, en grande partie parce que de nombreuses patientes hésitent à consulter un professionnel de santé à ce sujet. L’absence d’informations et de solutions accessibles contribue à cette méconnaissance.
Le manque de traitements adéquats a un impact significatif sur la qualité de vie des femmes, affectant non seulement leur confort quotidien mais aussi leur bien-être émotionnel et relationnel. La peur de ressentir de la douleur durant les rapports, l’irritation constante et le sentiment de gêne influencent leur confiance en soi et leur intimité. De plus, le manque d’informations disponibles et la réticence des patientes à en parler avec leur médecin retardent souvent la mise en place d’un traitement efficace (Fig.1).
Fig. 1: L’illustration montre les mécanismes clés dépendants des œstrogènes qui assurent la santé de la muqueuse vaginale. Il en résulte les multiples effets négatifs d’une baisse des œstrogènes – en particulier à la ménopause – sur la flore vaginale et la muqueuse (adaptée de Sturdee et al. 2010)5
L’acide hyaluronique: une solution hydratante et régénératrice
L’injection d’acide hyaluronique (HA) dans les tissus vaginaux et vulvaires permet de restaurer l’hydratation et l’élasticité, atténuant ainsi les symptômes de la VVA de manière durable. L’acide hyaluronique est un glycosaminoglycane naturellement présent dans l’organisme, ayant une capacité exceptionnelle de rétention d’eau et jouant un rôle essentiel dans la souplesse et la régénération des tissus conjonctifs.2
En gynécologie, son utilisation permet plusieurs bénéfices majeurs :
-
Une réduction significative de la sécheresse vaginale et des irritations, apportant un soulagement rapide et durable aux patientes souffrant de VVA.
-
Une amélioration de la trophicité des grandes lèvres et une protection accrue de l’introitus vaginal, réduisant ainsi le risque de microtraumatismes et d’infections récurrentes.
-
Une augmentation de la lubrification naturelle et une réduction des douleurs lors des rapports sexuels, permettant aux patientes de retrouver une vie intime épanouie et sans gêne.
-
Un soutien à la régénération cellulaire des muqueuses vaginales, contribuant à une amélioration à long terme de la qualité tissulaire et de la résistance aux agressions extérieures.
Sécurité et efficacité du traitement
Les injections d’HA présentent un excellent profil de sécurité et sont bien tolérées par la plupart des patientes. Les effets secondaires sont généralement mineurs et transitoires, incluant une légère rougeur ou un gonflement localisé après l’injection. Contrairement aux traitements hormonaux, l’acide hyaluronique ne présente pas de risque de stimulation hormonale et peut donc être utilisé chez les patientes ayant des antécédents de cancer hormono-dépendant.
Les études cliniques confirment une amélioration notable des symptômes dès les premières semaines après l’injection. Une majorité de patientes rapportent une nette diminution des douleurs, une meilleure hydratation des muqueuses et une amélioration de leur bien-être général. Toutefois, comme les effets sont temporaires, des injections d’entretien sont recommandées tous les 10 à 12 mois pour maintenir les bénéfices sur le long terme.
En complément des bénéfices physiques, le traitement par HA contribue à restaurer l’estime de soi des patientes et à renforcer leur confort psychologique. Il permet également de limiter l’usage prolongé de crèmes hydratantes locales et de traitements palliatifs souvent contraignants. Le suivi post-traitement est généralement simple et les patientes peuvent rapidement reprendre une vie normale sans interruption majeure de leurs activités quotidiennes.3
Applications spécifiques: augmentation du point G et correction esthétique
Outre son utilisation dans le traitement de la VVA, l’acide hyaluronique est également employé pour d’autres indications en gynécologie esthétique, notamment l’augmentation du point G. Cette procédure vise à améliorer la sensibilité de cette zone et à intensifier le plaisir sexuel.
L’injection est réalisée dans la paroi antérieure du vagin, renforçant la structure locale et augmentant la stimulation lors des rapports. Les résultats varient selon les patientes, mais une majorité d’entre elles rapportent une amélioration notable de leur sensibilité et de leur satisfaction sexuelle.
Par ailleurs, l’acide hyaluronique peut être utilisé pour corriger l’atrophie des grandes lèvres, un phénomène fréquent après la ménopause. Cette approche permet non seulement une amélioration esthétique, mais aussi une protection accrue des structures vaginales en réduisant la friction et les irritations (Fig.2 et 3).4
Fig. 2: Dissection des grandes lèvres (GL) chez une femme de 61 ans décédée. (A) Une incision est pratiquée sur le bord latéral des GL et la peau est délicatement rétractée vers le côté médial. (B) Sur la face postérieure de ce lambeau, on peut observer le dartos des lèvres (flèches blanches). Cette couche est composée de muscle lisse et est plus développée sur les faces latérales et inférieures des GL. La tunique fibreuse (ou sac élastique) contient le corps adipeux des GL (flèche rouge) ainsi que les fibres en éventail du ligament rond. Le tiers caudal du sac est proche de la fourche. Ces images ont été obtenues dans le cadre d’une dissection cadavérique conventionnelle à des fins pédagogiques. L’approbation d’un comité d’éthique (IRB) n’était pas requise.
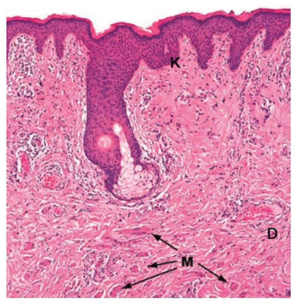
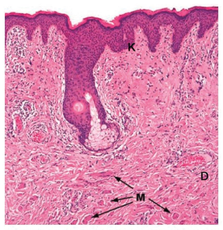
Fig. 3: Cette coupe (coloration à l’hématoxyline-éosine) illustre l’épithélium pavimenteux kératinisé et stratifié (K) des grandes lèvres. Cet épithélium comprend des follicules pileux, ainsi que des glandes sébacées et apocrines. La couche de dartos (D) est riche en tissu conjonctif et en muscle lisse (M).
Conclusion
L’acide hyaluronique représente une avancée majeure dans la prise en charge du bien-être urogénital féminin. Son efficacité, sa rapidité d’action et son excellent profil de sécurité en font une solution de choix pour les patientes souffrant de sécheresse vaginale, d’atrophie tissulaire ou de douleurs intimes. En offrant une alternative aux traitements hormonaux, l’acide hyaluronique permet aux femmes de retrouver confort et épanouissement dans leur quotidien, améliorant ainsi leur qualité de vie et leur confiance en elles.
Littérature:
1 Oliva C et al.: Blindly cross-linked Hyaluronic Acid and Genital Sphere. Preliminary Study Presented at the International Federation of Gynecology and Obstetrics (FIGO) World Congress 2012, Rome 2 Barbara G et al.: Vaginal rejuvenation: current perspectives. Int J Womens Health 2017; 9: 513-9 3 Webster R et al.: PEGylated proteins: evaluation of their safety in the absence of definitive metabolism studies. Drug Metab Dispos 2007; 35(1): 9-16 4 Fasola E et al.: Labia Majora Augmentation with Hyaluronic Acid Filler: Technique and Results; Aesthetic Surgery Journal 2016; 36(10): 1155–63 5 Sturdee DW, Panay N; International Menopause Society Writing Group: Recommendations for the management of postmenopausal vaginal atrophy. Climacteric 2010; 13 (6): 509-22
Das könnte Sie auch interessieren:
Les fibroblastes sénescents dans la peau vieillissante
La recherche de stratégies efficaces pour contrer le vieillissement cutané connaît un essor sans précédent. Sur le plan esthétique, les patient.es aspirent à une peau plus ferme, plus ...
Les erreurs à éviter sur les réseaux sociaux en tant que dermatologue
Lʼusage des réseaux sociaux dans le domaine de la dermatologie sʼest considérablement développé, offrant une opportunité de se connecter directement avec les patients et de partager des ...